Your magnetic personality

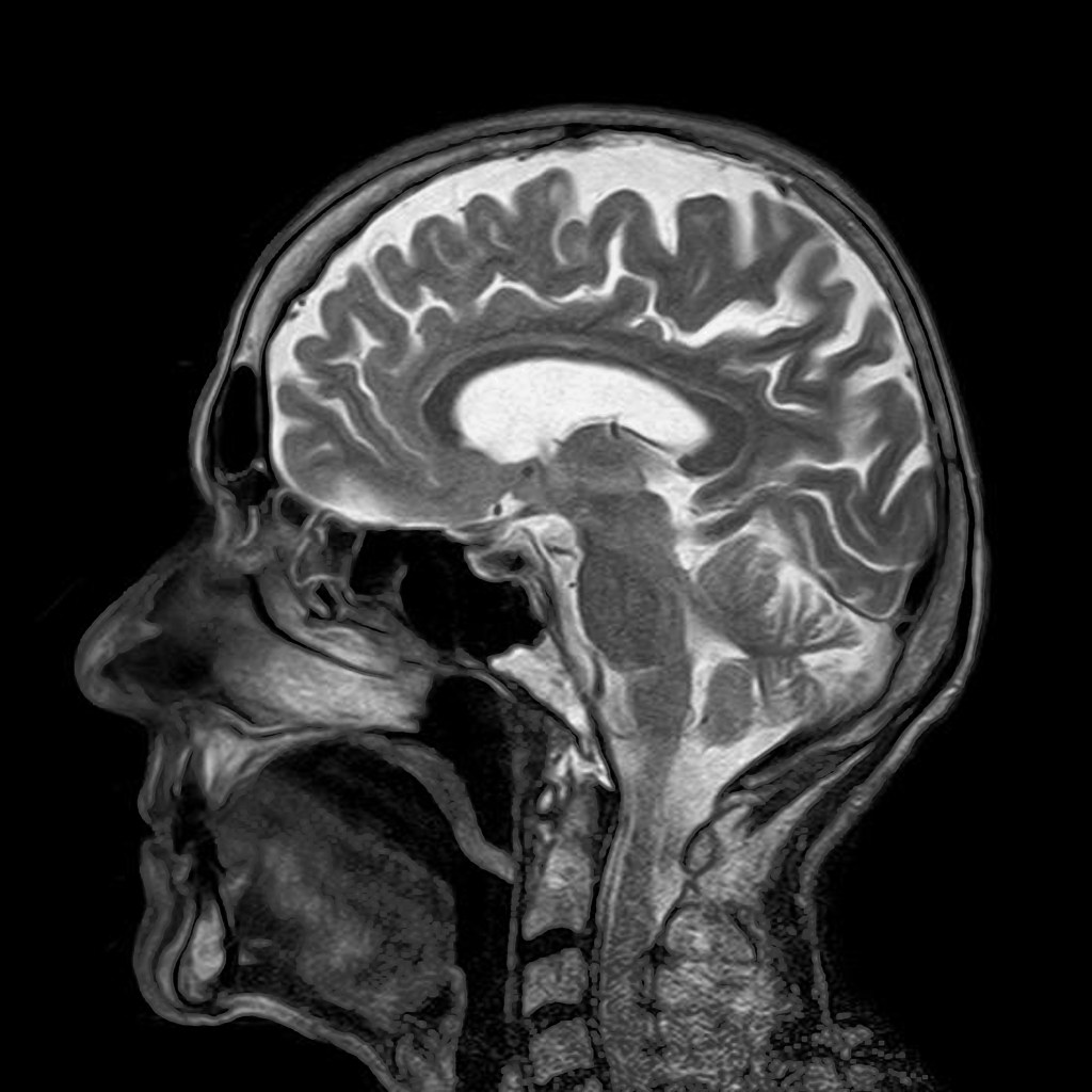
MRI image by toubibe from Pixabay

Since their discovery over a century ago, X-rays have become invaluable in the medical world, allowing doctors to see inside our bodies. Whilst the basic technology of taking medical X-rays is unchanged – essentially taking a photograph of the shadow left when X-rays are shone through the body – X-rays have entered the computer age. From digital X-rays that work like digital cameras dispensing with the need for film to tomography that allows 3D X-ray pictures of the body to be created, computer technology has revolutionised the way we doctors peer into our bodies.

One of the most exciting ways to use computers to look into our bodies is called magnetic resonance imaging (MRI). While X-rays are very useful they only work when dense materials in the body absorb the X-rays energy (this loss of energy as they pass through the body is called attenuation). But lots of interesting stuff in our innards isn’t dense or filled with attenuating materials. We are after all flesh and blood, and those don’t show up on X-rays. Enter the magnet, or to be precise the proton. Water makes up the majority of structures in our body, and water has an interesting property. In a high magnetic field the protons in the hydrogen act like atomic magnets, and line up with (align with) the applied external magnetic field, like soldiers all standing to attention.

Wobbly Protons

We can then apply a radio wave; this radio wave has a magnetic element to it (that’s why it’s called an electromagnetic wave), and if we apply the radio wave with just the right frequency those aligned protons start to wobble. It’s like pushing a kid on a swing. If you keep pushing at the right time during the swing they will go higher and higher. It’s called resonance. Similarly if we hit the protons with the correct resonant frequency they start to spin round and round and round, and fall over. Take away the radio wave and the protons start to align themselves with the magnetic field again, like soldiers trying to regain their dignity, but as they do they give off energy in the form of a radio wave that we can pick up and measure.

Back to attention

Now rather than put the same magnetic field over all the protons we put a slope on the field, a gradient, with different magnetic fields in different places. Each proton then has its own little magnetic environment, and so its own resonant frequency. Now since we know what the magnetic field is at different places (as we put the slope on) we can fire the right radio wave frequency to unbalance only protons in certain places. After the pulse, as these protons try to realign, the strength of the signal they give out is in proportion to the number of protons in that area. In effect we can measure the amount of water in a particular area.

Magnets in the body

So how does this let us image inside bodies? In an MRI (Magnetic Resonance Image) scanner we have a big external magnetic field, and on top of this we add a smaller magnetic gradient across the body. That means each location across the body has a different local magnetic field. We then apply a radio pulse, at a range of resonant frequencies, and for each pulse we measure how much signal we get back. From this we can reconstruct an image of the water (proton) distribution across the body. We can also use tomographic techniques: by simply rotating the magnetic gradient around the body, we produce a 3D slice. The water content is different in different body tissues, so the scan shows us all the soft interesting stuff, where it is and what shape it’s in. Better still the way that the protons realign after they have been toppled is dependant on the chemicals round them, so we can even get some data on that too by looking at the speed at which they realign and give off their energy.

Blood in the brain

Blood contains a great deal of water, and blood that is oxygenated (contains oxygen) has different magnetic properties to blood that is deoxygenated. So by looking at where blood is giving up its oxygen we can see for example which parts of the brain are active when you look at colours, or listen to sounds. This is called functional imaging or fMRI, and through the wonders of computers and new algorithms we can now see not just structure inside the body, but also how it is working.

Paul Curzon, Queen Mary University of London


Related Magazine …

Leave a comment